case 症例紹介
削らずに治す★ホワイトスポット
20代、歯科衛生士をされている患者さまです。
ご職業柄、歯のクリーニングとホワイトニングを定期的にされてきました。
当院では、デュアルホワイトニングと、Icon®によるホワイトスポット治療を行いました。
【治療内容】ホワイトスポット治療 デュアルホワイトニング
【治療期間】 約1ヵ月 (デュアルホワイトニング約3週間、ホワイトスポット治療1日)
【副作用】 ホワイトスポット治療:再発、色馴染の悪さ、破折、凹みなど
ホワイトニング:知覚過敏、ホワイトスポット、後戻りなど
【治療費用】 ホワイトスポット治療:33000円(難易度・本数によって変動)
デュアルホワイトニング:55000円
※画像の掲載に関し、ご本人様の同意を得ています。
※治療費は不定期に変動します
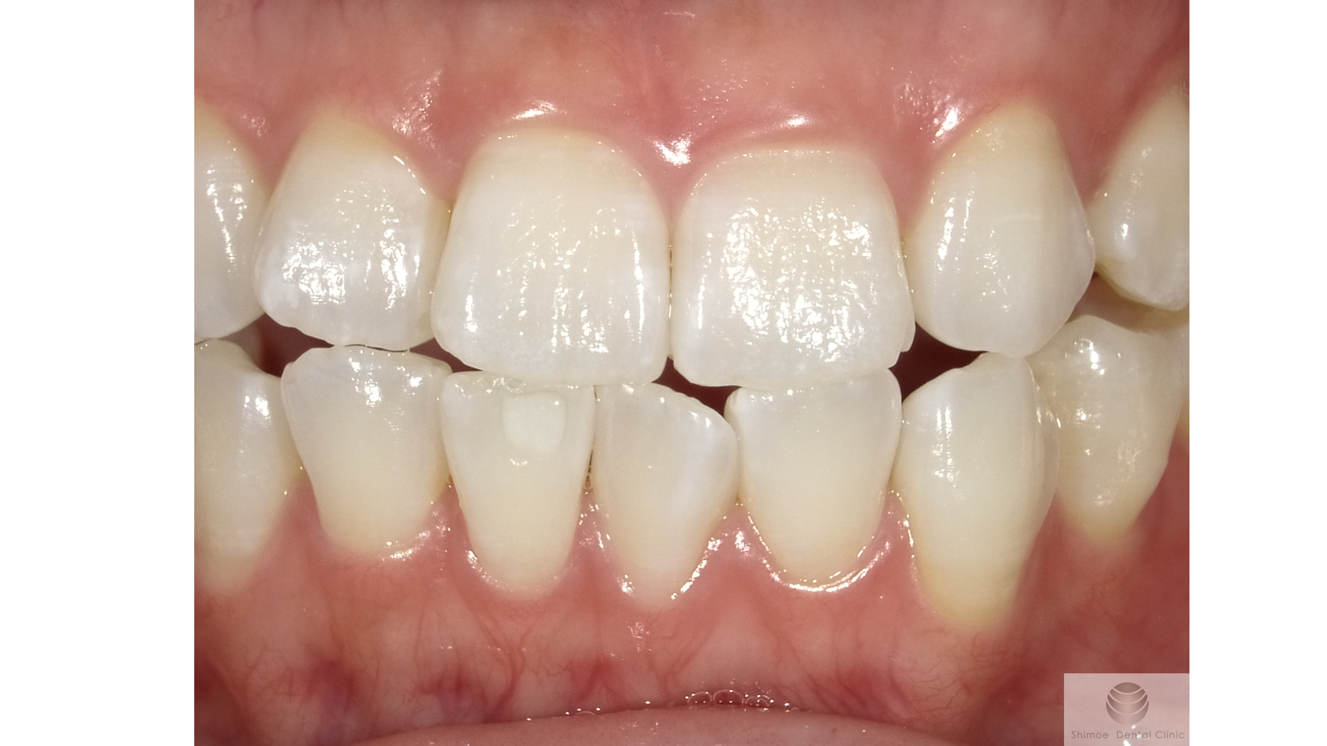
初診時
右下1番のホワイトスポット(黄色矢印)を拡大したお写真にて、治療の経過を追っていきます。
初診時、ホワイトスポットは周囲より白く、少し目立つようでした。
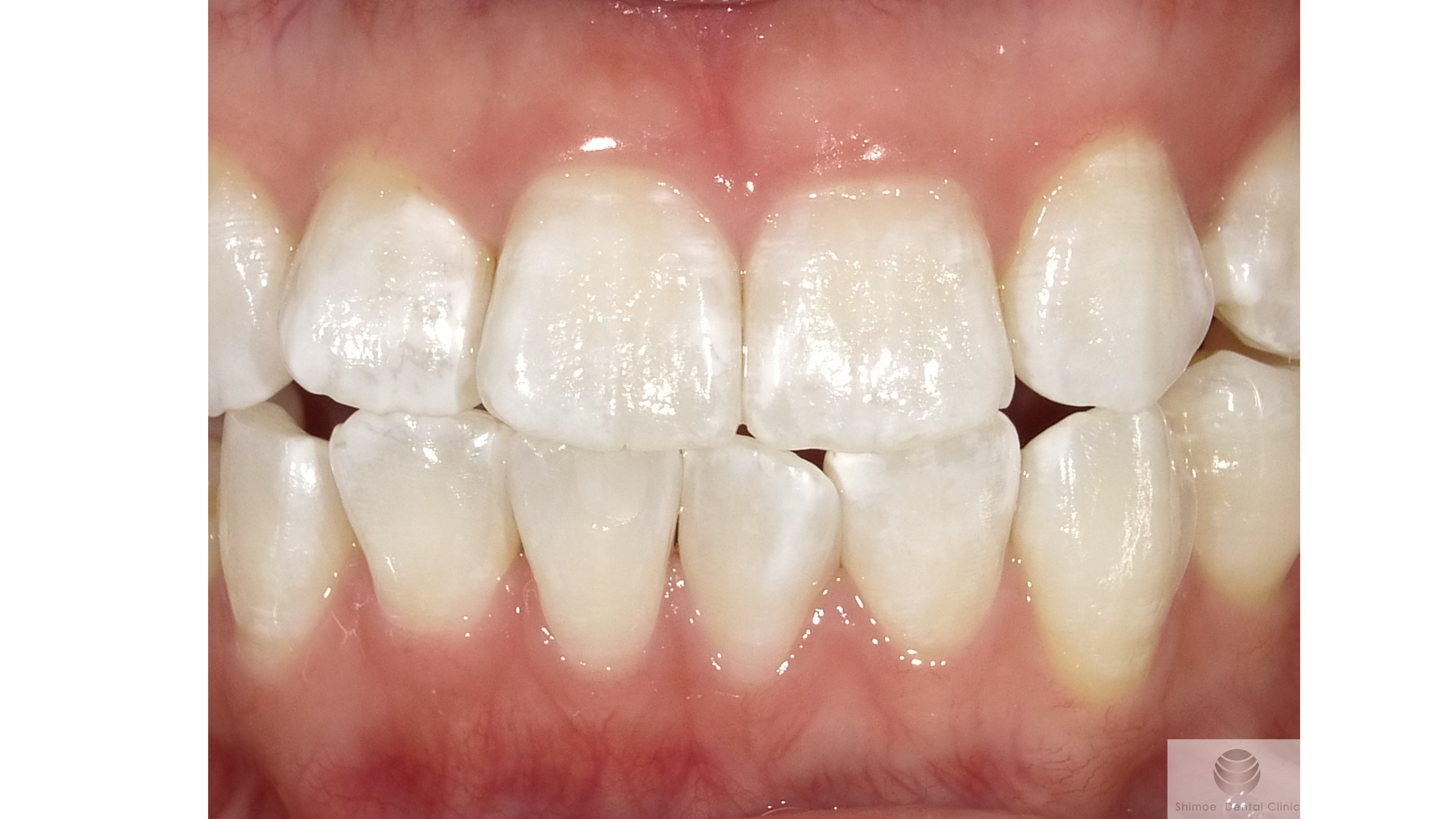
ホワイトニング後
一番初めにデュアルホワイトニングを3週間で行い、その後は、定期的にホームホワイトニング、年に1回程度のオフィスホワイトニングを行っておられました。
歯の黄ばみが取れて白くなったことで、ホワイトスポットも初めに比べると目立ちにくくなりました。
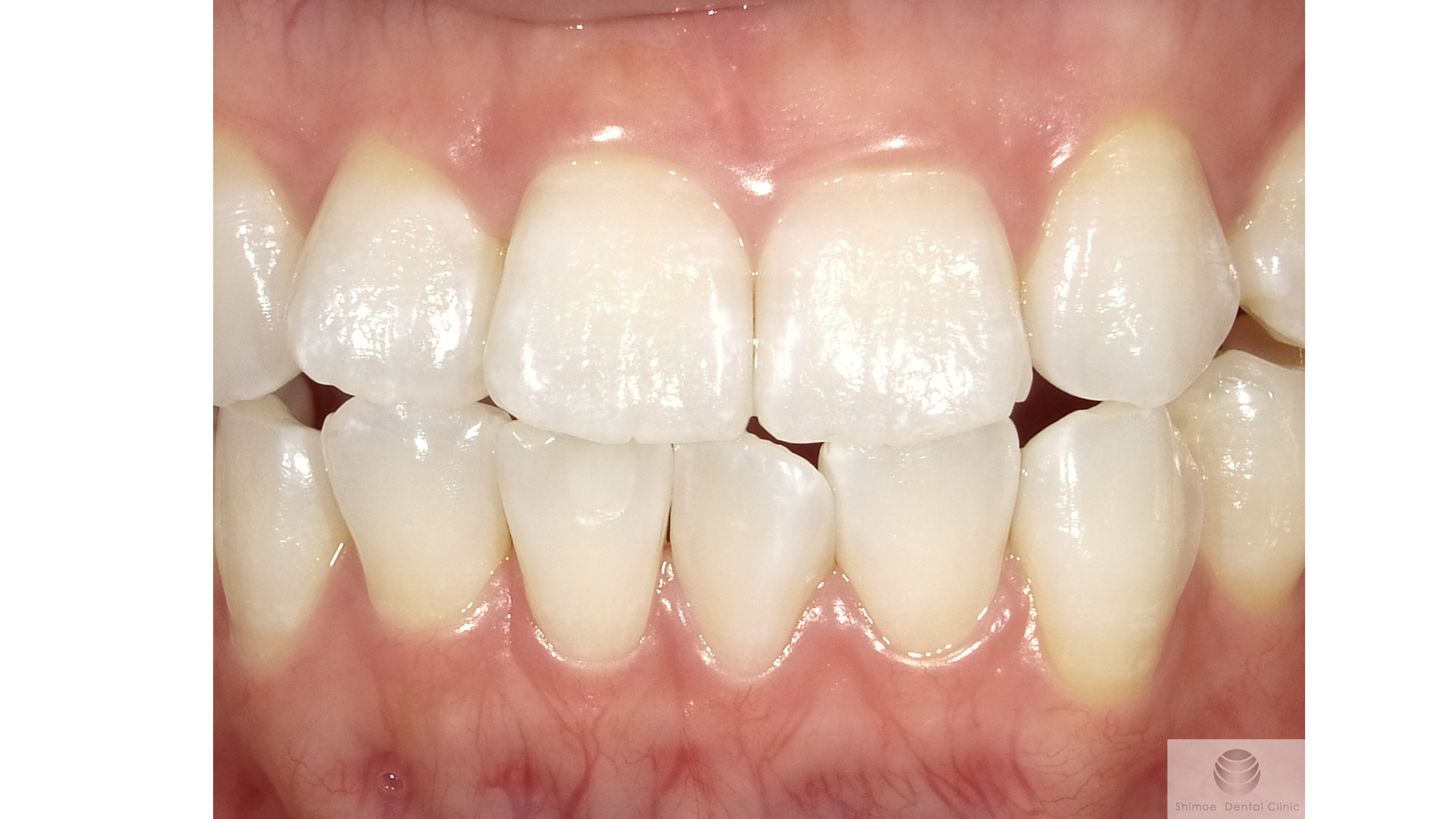
ホワイトスポット治療直後
Icon®によるホワイトスポット治療を行いました。
ホワイトスポットは外形がはっきりとして深いタイプでした。
スポット部には薬剤が十分に浸潤しています。
施術直後は乾燥によって周囲の歯が白くなります。
ホワイトスポット治療から1か月後
上のお写真から1か月後の経過です。
歯に水分が戻り全体的に馴染んでいます。
治療部位の舌感は施術前と変わりません、とのことでした。
ブラッシングもいつも通りに行っていただきました。
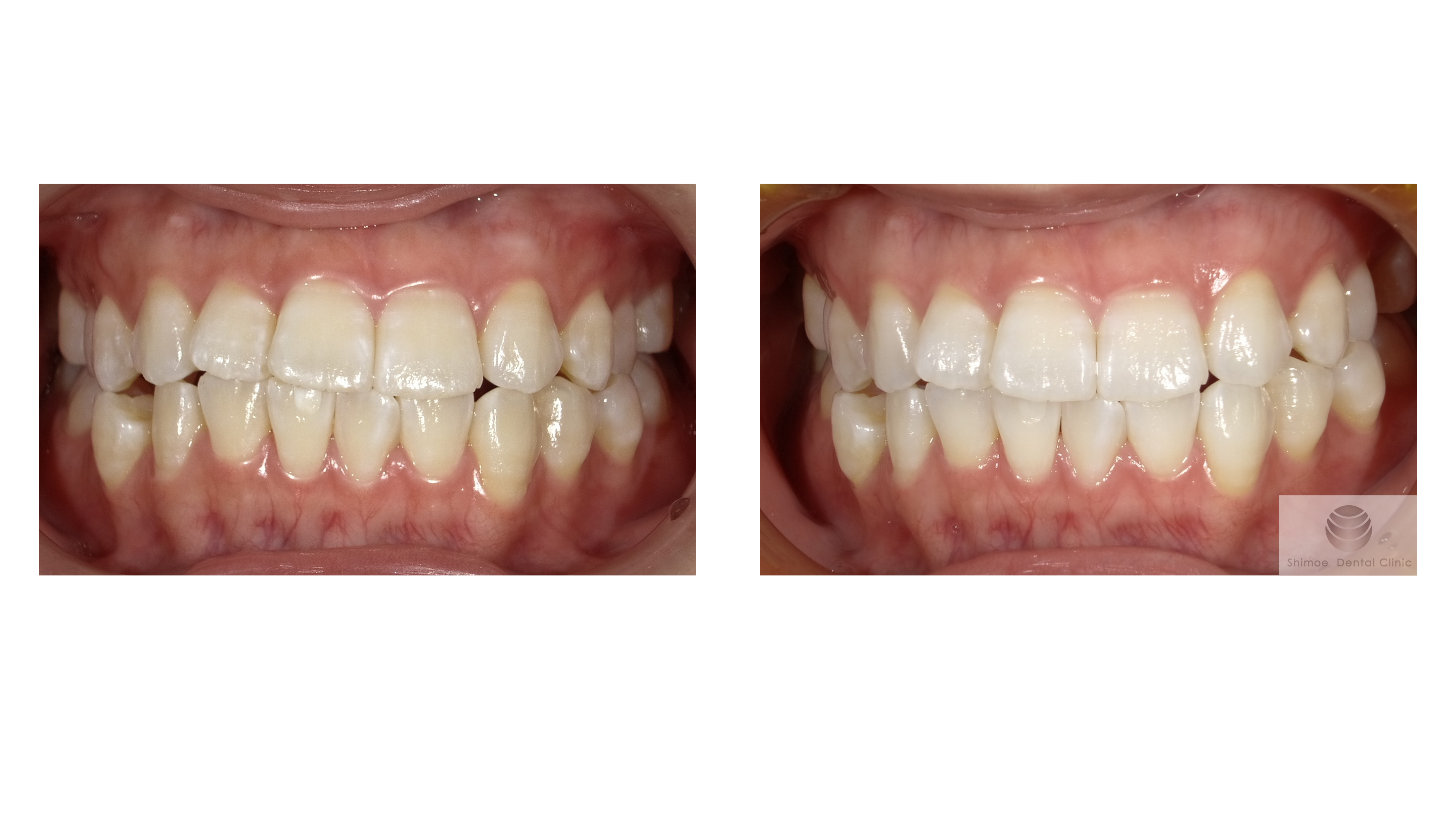
口腔内全体の比較写真
左:初診時
右:ホワイトスポット治療から1か月後
初診時のシェードはA2~A3。もともと白い方でいらっしゃいましたが、デュアルホワイトニングと定期的なホームホワイトニングによって、ブリーチシェードまでトーンアップし、この白さをキープされています。
キラキラと華やかな白さですね☺
右下1番のホワイトスポットは、ご自身の歯に馴染んで目立たなくなりました。
ホワイトスポット治療の後も、ホームホワイトニングを継続していただきましたが、治療部位のホワイトスポット再発や痛みなどはなく、問題なくホワイトニングができています。
当患者さまにおかれましては、歯科衛生士さんということもあり治療に深いご理解とご協力をいただき誠にありがとうございました。また、資料掲載にも快くご同意いただき、重ねて御礼申し上げます。
今後も、定期的なクリーニング&ホワイトニングで、綺麗な状態を保たれてくださいね☆
