治療for treatment

歯周組織再生治療、インプラント

美容for beauty

審美歯科治療、ホワイトニング

新着情報
news

削らずに治すホワイトスポット治療についてご紹介
症例紹介【骨隆起を切除して前歯の歯肉を正常に形態修正し、前歯部を審美的に改善した症例】
日本歯科新聞に掲載されました!
症例紹介【歯周組織の再生によって重度歯周病が治癒した症例 ~エムドゲイン®ゲルと骨補填材を用いた歯周組織再生治療~】
症例紹介【自分の歯で咬みたい希望のある重度歯周病の方にGBRとFGGを行い歯周組織を再建しブリッジにて対応した症例】

当院についてConcept

あらゆる歯科治療を
歯周病のプロに任せる理由

歯周病の治療に際しては、口の中全体、ひいては体全体を診る必要があります。あらゆる歯科治療において、本質的な治療の手がかりはそのときに見つかるのです。
当院では、歯周病について深く学び、最先端の治療法を研究・提供してきた歯科医師が院長を務めます。「歯周病のプロ」の見地から、一人一人の患者さんに適した治療方針や治療計画をじっくりと考え、最善のご提案をさせていただきます。

医院概要

〒720-0065
広島県福山市東桜町2-11 福山センタービル1F・2F
TEL・FAX: 084-924-1000
診療時間
平日、土曜日(10:00〜13:00 / 14:30〜19:00)
休診日
木曜日、日曜日、祝日、医院指定の日
診療内容
一般歯科、歯周病、インプラント、審美歯科、ホワイトニング、小児歯科、予防歯科

院長あいさつGreeting

地元で歯周病に困っている方々の
助けになりたい

私は、地元福山市で生まれ育ち、福岡歯科大学では人間性を養われ、岡山大学にて医療人として成長させて頂いたと感じています。
私の専門である歯周病は、生活習慣病であると認知されてはいますが、上下左右の歯(歯茎)に同じように起こる病気であることを知っている人は少ないと思います。そのため、単に一本の歯を治療すれば良いという訳では無く、一口腔単位で治療計画を立案することが重要になります。また、中等度以上の歯周病をきちんと治療していくためには、多くの時間と手間がかかります。すなわち、歯周病治療は、基本的な歯周治療、再生治療を含めた歯周外科手術と、かぶせ、ブリッジ、入れ歯、インプラント、矯正などの咬合治療を含めた様々な治療がバランス良くできないと成り立ちません。
私はこれまでの経験を生かして、地元で歯周病に困っておられる方の助けになりたいと思い、誰もがアクセスしやすい福山の中心地で開業しようと決意しました。皆様のお役に立てるよう日々努力を重ねて行きたいと思います。

末長くよろしくお願い申し上げます。

院長 下江正幸

※ 2017年現在、厚生労働省に認められている歯科の専門医は5つ
(口腔外科、歯周病、小児歯科、歯科麻酔、放射線専門医)のみです。

院長 略歴Biography

略歴
平成09年
広島県立福山明王台高等学校 卒業
平成16年
福岡歯科大学 卒業/歯科医師国家試験 合格
平成16年〜
岡山大学医学部・歯学部附属病院 歯周科 研修医
平成18年〜
岡山大学大学院医歯薬学総合研究科・歯周病態学分野 大学院生
平成22年〜
岡山大学病院・歯周科 医員
平成23年〜
社会医療法人・興生総合病院 歯科医長
平成24年〜
国立療養所・邑久光明園 厚生労働技官(歯科医師)
平成25~29年
岡山大学大学院医歯薬学総合研究科・歯周病態学分野 助教
平成26~29年
岡山大学病院・歯周科 外来医長 兼任
平成29年〜
下江歯科医院 院長
平成25〜29年
岡山市 MOMO DENTAL CLINIC 非常勤
資格
・歯科医師
・歯学博士
・日本歯周病学会 歯周病専門医
所属
・福山歯科衛生士学校 講師(口腔衛生学)
・日本歯科医師会
・日本歯周病学会
・岡山大学病院・研修登録医(歯周科)
・KIS study group

治療案内Consultation

科学的根拠に基づく
本質的な治療を追求しています

現在、成人の多くが歯周病に罹患していると言われており、歯周病が重度に進行すると歯を失う原因になります。また、歯周病は歯だけでなく全身に対しても様々な悪影響を及ぼす可能性のある病気であることが近年の研究で分かっています。我々は、多くの悩みを生み出す原因となる歯周病の治療に全力で取り組んでいきます。

歯を失う原因のほとんどを占めている歯周病ですが、欧米ではSilent Disease(サイレントディジーズ:沈黙の病)と呼ばれ、ある程度重症化するまで症状を起こさない病気としても有名です。

当医院院長である下江正幸は、大学病院で10年以上歯周病に関して専門的に研究し、治療を提供してきた歯周病治療のプロフェッショナルです。当院では、自分の歯で一生噛めるようにするため、歯周病のサインを早期に見つけ、定期的なメインテナンスや治療を提供いたします。

SDCの歯周組織再生治療

全てはここからはじまります

歯周病も、程度によっては歯の周りをきれいに保つ治療を続けることで治せるものもあります。しかし重度の歯周病になると、破壊された歯の周りの組織(歯ぐき、歯の靭帯、歯を支える骨など)を再生させるための治療が必要となります。これが歯周組織再生治療です。また、歯周組織再生治療は全ての症例に適応できるわけではなく、適応症があります。

SDCのインプラント

歯周病治療のためのインプラント
と言う概念

「歯を残す」専門家である歯周病専門医のインプラント治療では、歯周組織を手術などで改善してからインプラント治療を行い、アフターフォローも適切に行っていくことで、歯を失った方にとっては画期的と言える、この歴史ある治療法の予知性(長持ちする度合い)を高めます。

症例紹介Cases

実際に手がけた症例をご紹介します

ジルコニアセラミッククラウンによる前歯部の審美治療
審美歯科治療 セラミック治療

ジルコニアセラミッククラウンによる前歯部の審美治療

20代の患者さまです。11年程前に前歯2本が折れたり欠けたりして、根の治療を含む前歯部の治療を受けられました。 その後…
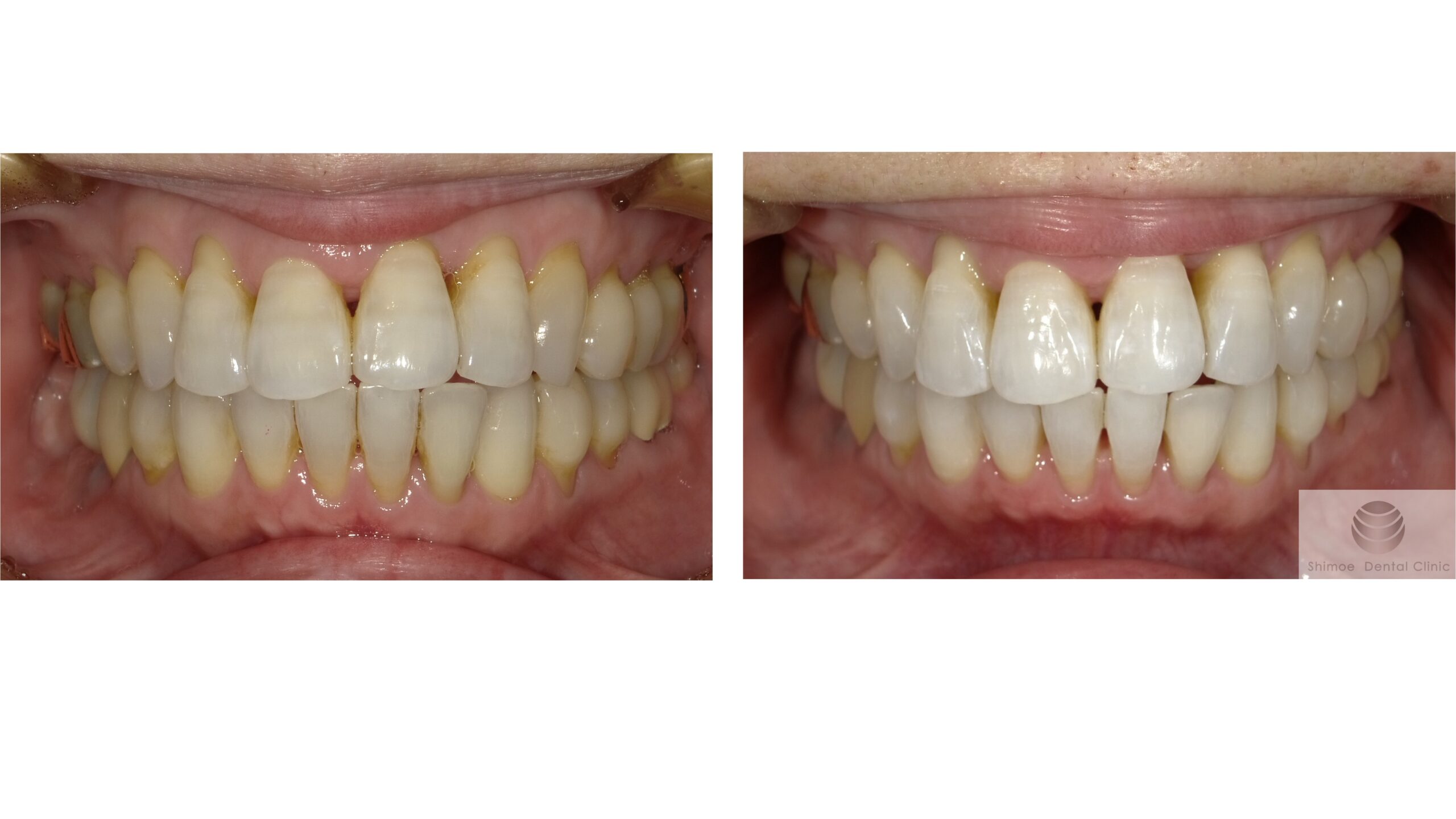
骨隆起を切除して前歯の歯肉を正常に形態修正し、前歯部を審美的に改善した症例
審美歯周外科

骨隆起を切除して前歯の歯肉を正常に形態修正し、前歯部を審美的に改善した症例

20代の患者さまです。他院での矯正後、骨が凸凹と出てきて気になられるとのことでした。上顎の骨隆起の外科的治療を行いまし…
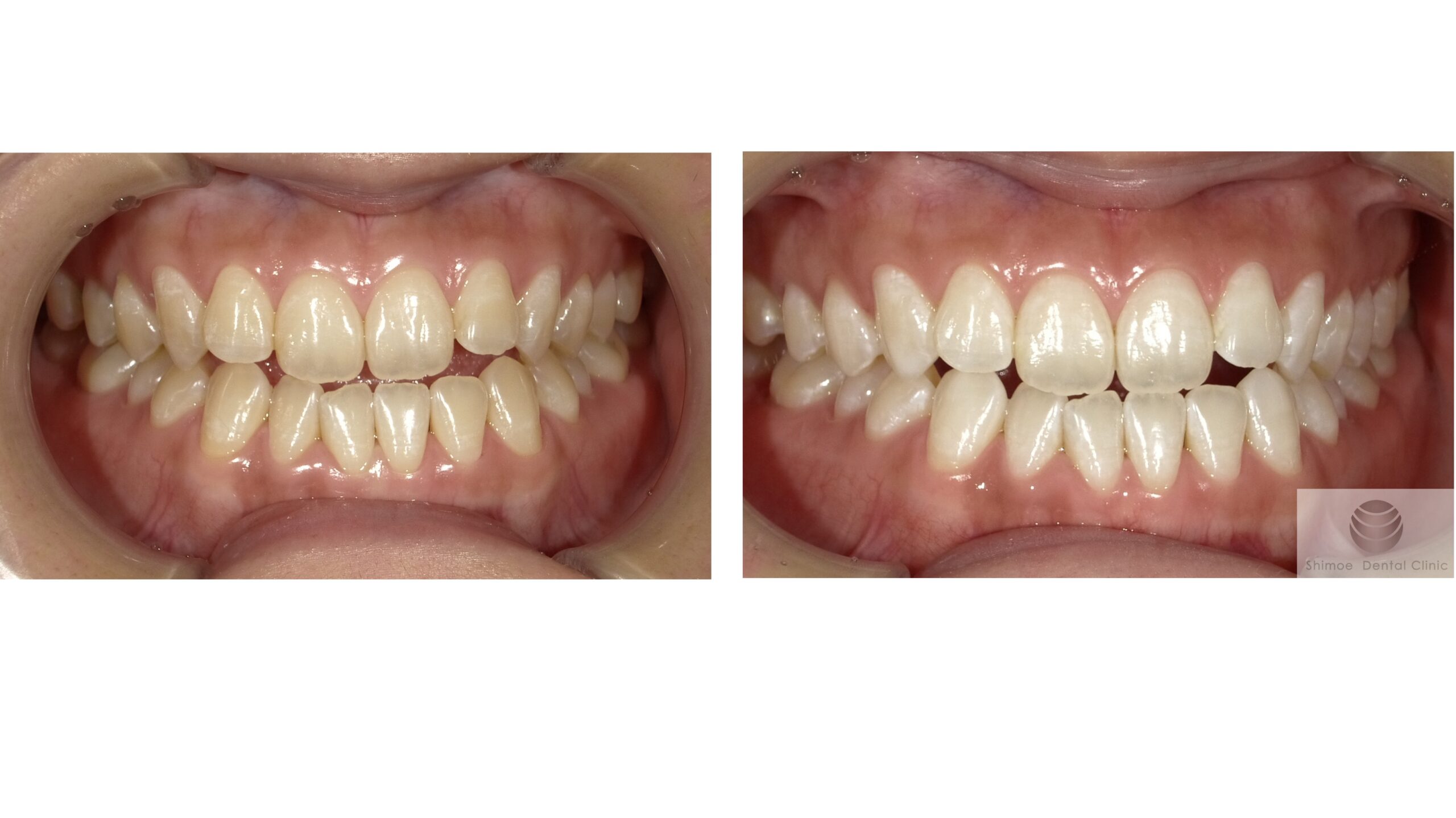
削らずに治す★ホワイトスポット
ホワイトスポット治療 医療ホワイトニング

削らずに治す★ホワイトスポット

20代、歯科衛生士をされている患者さまです。 ご職業柄、歯のクリーニングとホワイトニングを定期的にされてきました。 当院…

副院長紹介Greeting

美容と健康の両面から
真の美しさを

副院長
下江優子(静岡県出身、京都、大阪、滋賀育ち)
略歴
平成14年
滋賀県立膳所高等学校 卒業
平成18年
大阪薬科大学・薬学部 卒業/薬剤師国家試験 合格
平成22年
岡山大学・歯学部 卒業/歯科医師国家試験 合格
平成23年
岡山大学病院・卒後臨床研究センター歯科部門 修了
平成23年〜
京都嵐山さが松井歯科医院 勤務
平成24年~27年
琵琶湖大橋病院・歯科口腔外科/薬剤部 勤務
平成26~27年
同訪問歯科医長 兼任
平成29年~
下江歯科医院 副院長
資格
・歯科医師
・薬剤師
・美容薬学検定1級

スタッフ紹介Staff

目指す医療を
強く支える存在として

予防の基本は、歯を美しくすることから始まります。当院が目指す綺麗な歯とは、機能的かつ審美的に優れた歯のことを指します。それは治療だけでは補えない部分も多々あります。故に歯科衛生士や歯科助手の存在が我々の目指す医療を支えています。
当院では普段の歯磨きから始められる「セルフケア」について丁寧にご指導します。最新の予防治療に関する知識や技術の習得にチーム一丸となって日々尽力しています。

採用情報Recruit

当院では、歯周病治療や予防歯科の分野で
主役を担う歯科衛生士の方を募集しています。

職種
歯科衛生士(パート)
資格
有資格者(経験者優遇)
給与
【パート】 時給1,200円~1,500円

当院では、チーム医療を行うために不可欠である
歯科助手/受付の方を募集しています。

職種
歯科助手・受付(パート)
資格
高卒以上(未経験可)
給与
【パート】 時給900円〜1,000円
勤務時間
9:30-13:00 14:30-19:30
パートは時間・曜日応相談(午後診入れる方歓迎!)
休日
木曜日、日曜日・祝日・医院指定の日
福利厚生
【社員】
歯科医師国保
労働保険(雇用・労災)加入あり
交通費支給(月額上限10,000円)
バイク通勤応相談・昇給・賞与あり
【パート】
労働保険(雇用・労災)加入あり
交通費支給(月額上限10,000円)
バイク通勤応相談・昇給あり
応募
希望職種・勤務形態をご記入の上、
履歴書(写真貼付)を郵送ください。
書類選考の上、追ってご連絡致します。
〒604-8162
京都市中京区烏丸通六角下ル七観音町640烏丸センタービル5F
「下江歯科医院 採用係」 宛
連絡先
075-754-8177

お問い合わせContact

※基本的に初診の方のお問合せフォームとなります
通院中や、定期クリーニングの予約の方は
お電話にてお願いいたします
現在診療予約は込み合っており、ご希望日時に沿えない場合が多いことをご理解ください

お名前
ご年齢
ご連絡先(電話番号)
ご連絡先(アドレス)
ご希望日時
時間帯
主訴(最も気になっているものを1つ選択)
その他具体的な希望等

※このフォームを用いての営業等の勧誘は一切返答いたしません
※We will not respond to solications such as sales using this form.