case 症例紹介
過去にホワイトニングご経験のある方のデュアルホワイトニング
インプラントの治療のため福山市外から当院へ通院してくださっている患者さま。60代、女性歯科医師の方です。
6年前までホームホワイトニングをされていて、歯肉が退縮して露出した歯根部分の褐色が気になられるとのことでした。
露出した根面に対するホワイトニング的アプローチ、知覚過敏への対応等について事前にしっかりとご相談し、インプラント治療後にデュアルホワイトニングを行いました。
今回はホワイトニングについてご紹介いたします。
【治療内容】医療用デュアルホワイトニング
【治療期間】 約3週間
【副作用】 知覚過敏、ホワイトスポット、後戻りなど
【治療費用】 デュアルホワイトニング:55000円 オフィスホワイトニング:33000円
※画像の掲載に関し、ご本人様の同意を得ています。
※治療費は治療当時の価格となります。不定期に変更することがあります。
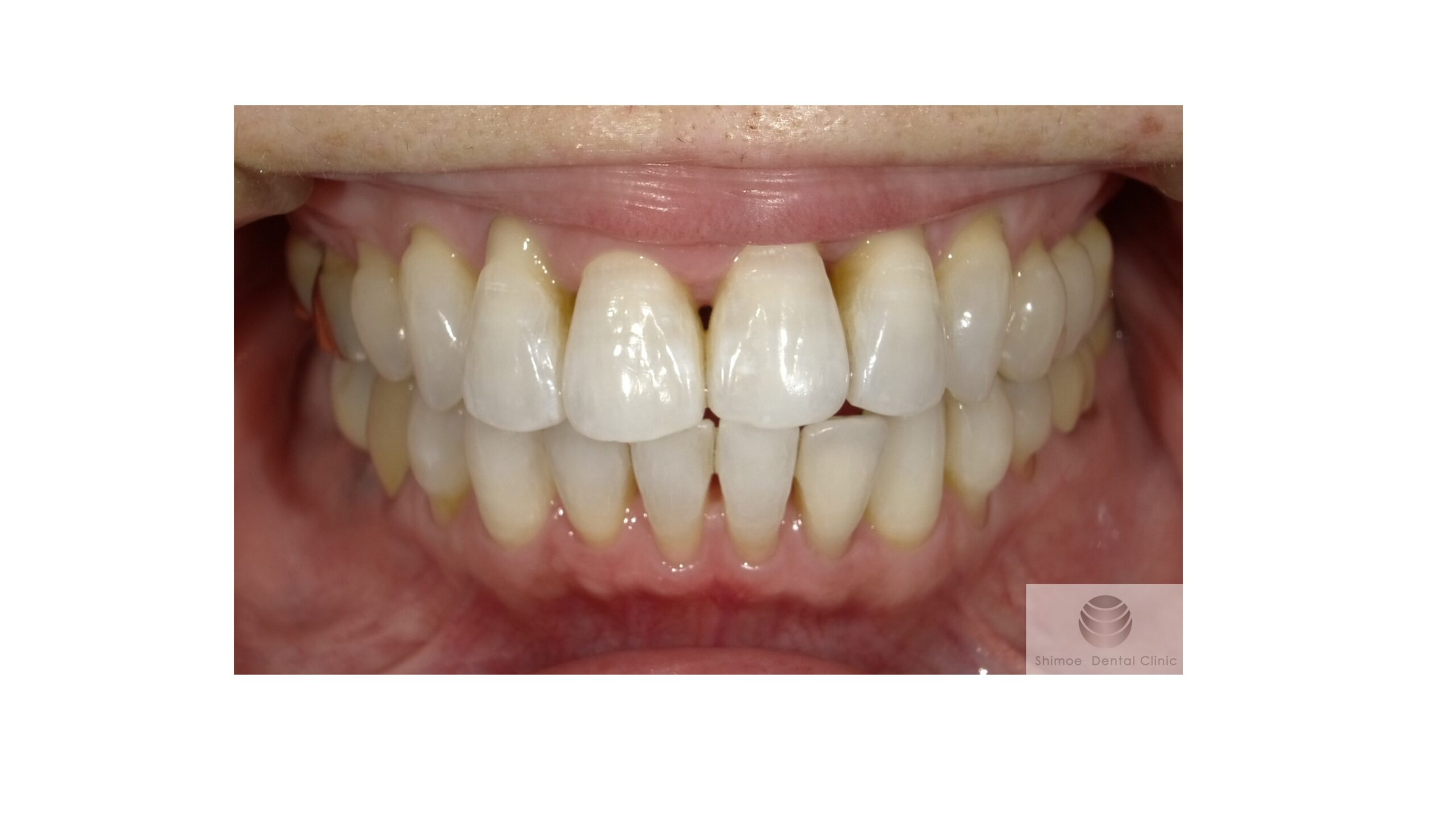
施術前
6年前まで定期的にホームホワイトニングをされていました。
施術前ですが、シェードは平均よりも明るくA2です。
デュアルホワイトニング後
オフィス×ホームのデュアルホワイトニング後です。
気にされていた露出根面の褐色ですが、知覚過敏が出やすいためオフィスではガムで覆ってしまいます。そのため、ホームホワイトニングによってアプローチしますが、その際にも気を付けなければならないのは、知覚過敏です。知覚過敏がでた時は休薬をしていただきながら、できる限り毎日ホームを継続していただきました。
デュアル後のシェードはブリーチシェードまでトーンアップしています。誰が見ても白いレベルと言われています。
露出した根面の褐色は、ステインによるものは消失しました。セメント質そのものの黄ばみは、施術前より薄くなり、部分的には白くもなりました。
1年後 再オフィスホワイトニング
デュアルから約1年後、下の前歯の黄ばみが気になってこられたのでオフィスホワイトニングをしました。この間、時々ホームを継続することによって、白さをキープしてくださっていました。
再オフィス直後のお写真となりますが、オフィスの効果が十分に引き出され、綺麗な艶感のある歯面になっています。
デュアル後のホワイトニングメインテナンスは、初回のデュアルによって達成した白さや患者さまのご希望により異なりますが、時々のホームホワイトニングと、半年~1年毎のオフィスホワイトニングをおすすめしています。
施術前後
施術前とデュアル後の再オフィス後の比較写真です。
施術前後では7トーンアップし、ブリーチシェードをキープされています。歯の色が変わるだけで、お口元のイメージがとても明るく、若々しくなられています✨
本患者さまにおかれましては、治療へのご協力ならびに資料掲載にご同意を賜りまして、誠にありがとうございました。
引き続き、定期的なメインテナンスによって、ともに口腔内の衛生管理をしていけましたら幸いに思います。
