case 症例紹介
骨隆起を切除して前歯の歯肉を正常に形態修正し、前歯部を審美的に改善した症例
20代の患者さまです。他院での矯正後、骨が凸凹と出てきて気になられるとのことでした。上顎の骨隆起の外科的治療を行いました。
【治療内容】
13ー23部 骨隆起切除手術
【治療期間】 7日(手術は1日、約1週間後に抜糸)
【副作用】 術後感染、出血、腫脹、痛み、骨隆起の再発等
【治療費用】132000円
※画像の掲載に関し、ご本人様の同意を得ています。
※治療費は不定期に変動します
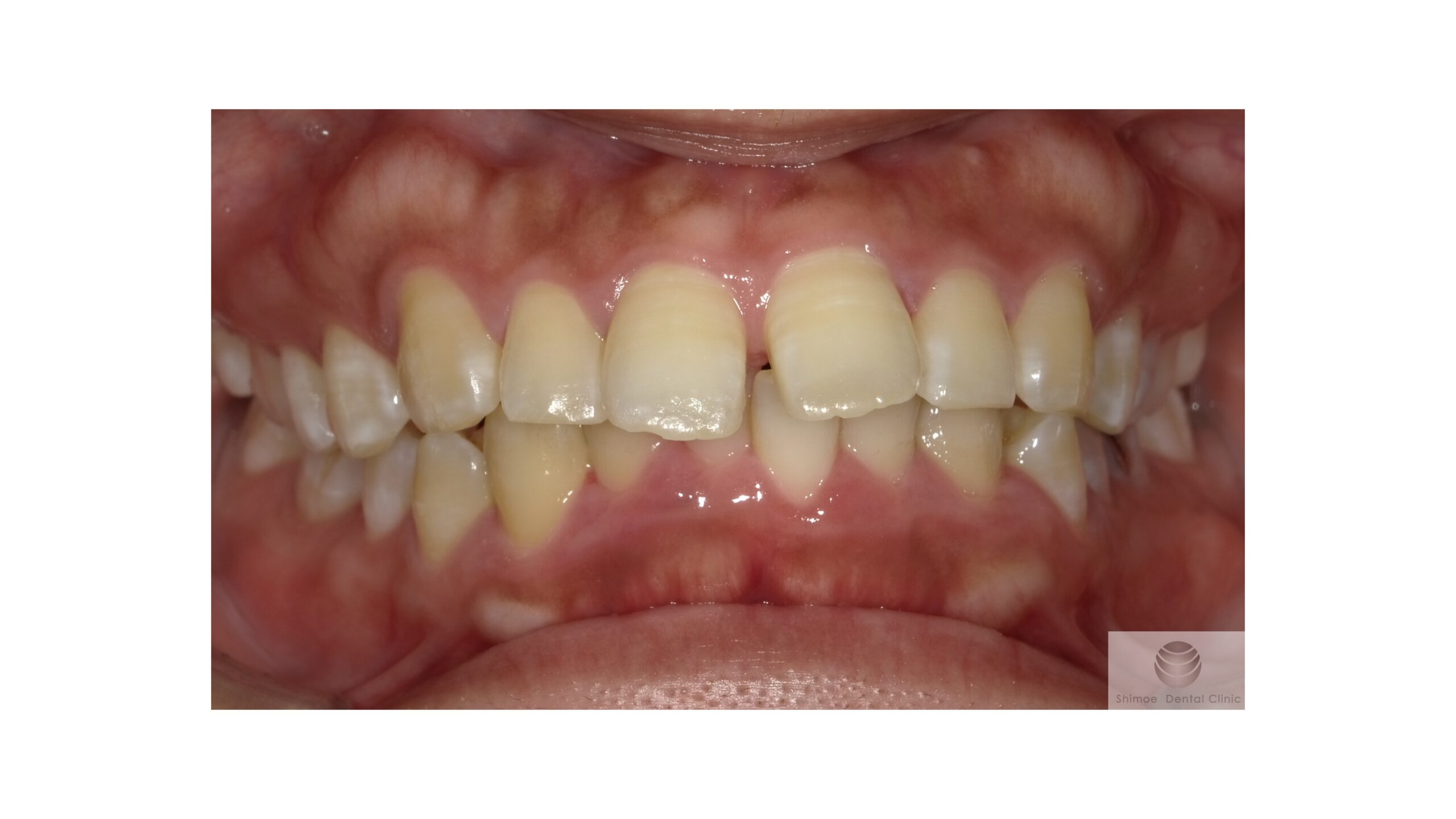
初診時
初診時の口腔内写真です。
矯正中
他院での矯正中 口腔内写真
上下の前歯部を中心に、矯正によって歯が動いたことで、唇側の骨が添加して骨隆起の凸凹が大きくなっています。
骨隆起は矯正によって必ず大きくなるものではありません。骨質など個々の条件によって、できやすい方がいらっしゃるようです。
装置が外れるまで待ちます。
矯正後
矯正後 口腔内写真
骨隆起は上下の前歯部に大きくできています。
凸凹として審美的に気になられるとのことでした。
歯ブラシが当たったりすると痛むことがあります。
手術中
歯肉を剥離反転し、右側半分の骨隆起をある程度切除した時点の術中写真(グレースケール)
手術前の骨のラインを赤い点線で印しました。
右側半分を切除した時の状態です。黄色矢印で示す範囲の骨を切除しています。骨添加の具合がよく分かると思います。
切除時に注意しなければならないことは、骨の厚みです。歯根の方向と位置は1歯ごとにそれぞれ異なるので、それに伴ってどの程度骨が添加しているのか、1歯ずつ骨の切除量を見極め、切除していきます(審美的には切除したいが、審美面を求めすぎると、切除する歯槽骨量が増え歯根が露出したりするのでその歯自体の予後が悪くなるので注意が必要だし、外科を行うだけでも0.5mm程度は歯槽骨が吸収するので、色々な手術の経験も必要です)。
左側も同様に削合しました。
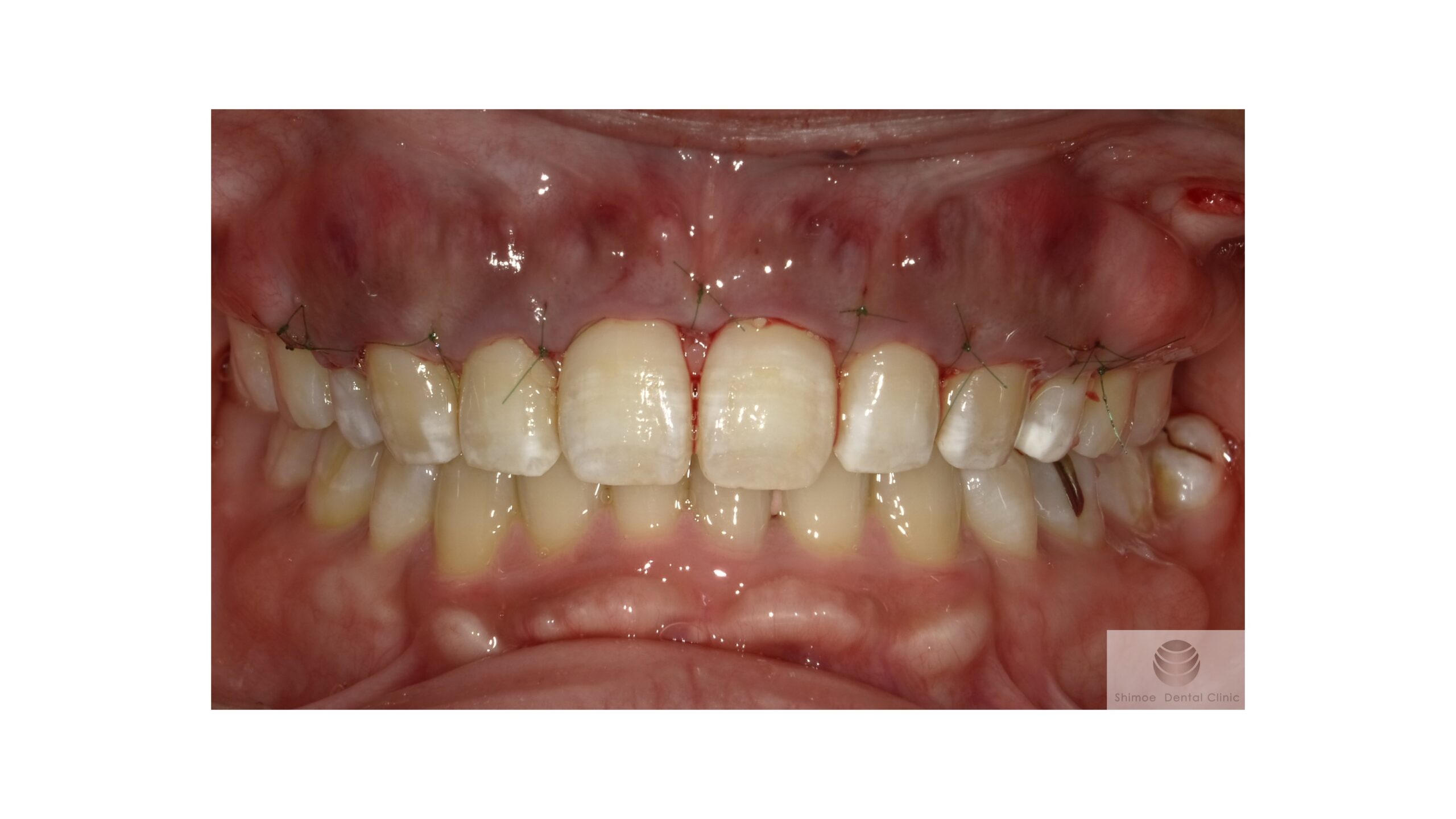
術直後
術直後
縫合し手術が終了した状態です。これで、一週間程治癒を待ち、抜糸を行い、数か月経過観察をします。
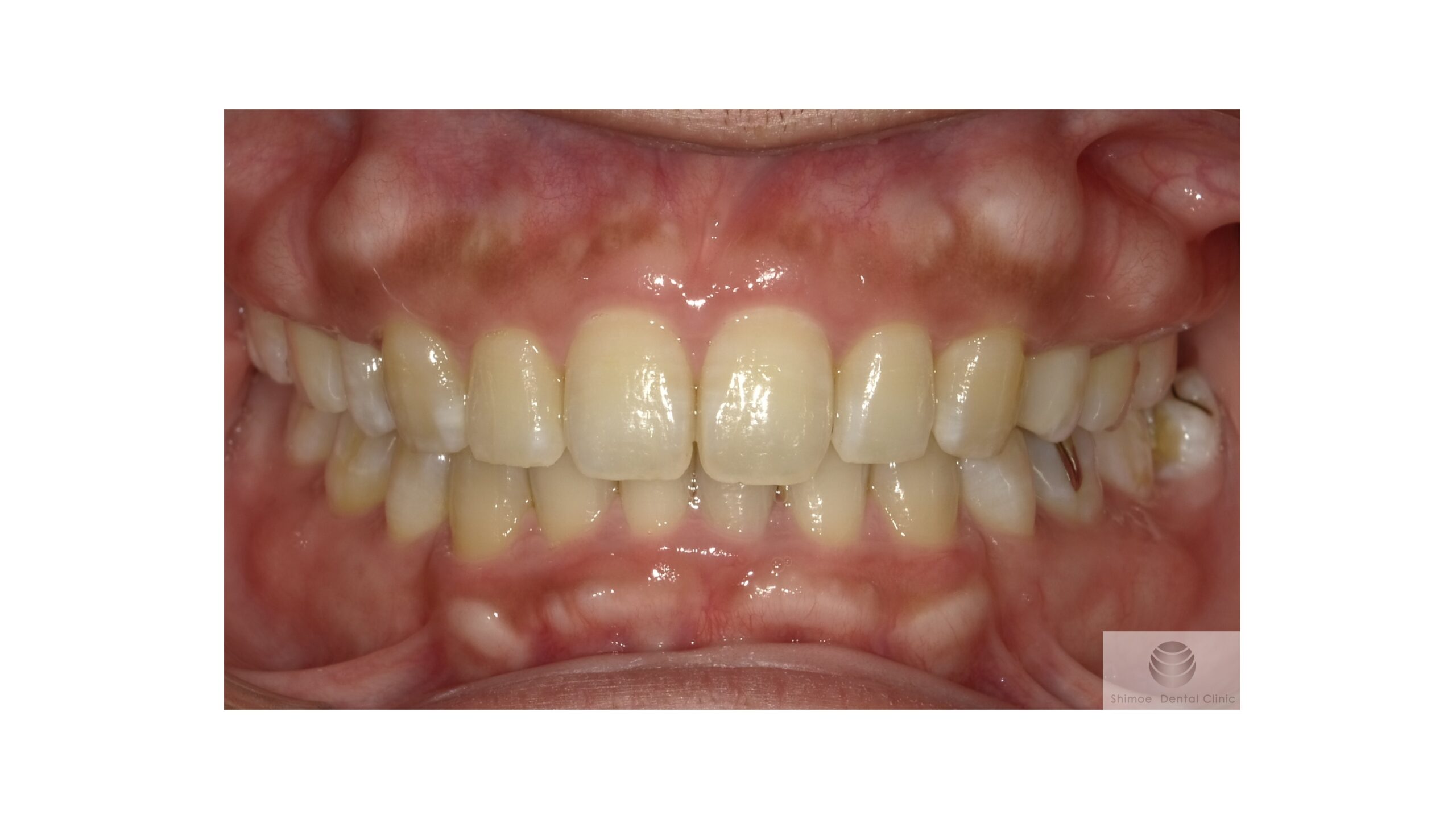
術後8か月
術後8か月経過 口腔内写真
経過は非常に良好です。
当初は下顎の骨隆起と上の奥歯の骨隆起についても手術をご希望されていましたが、上顎の凸凹した骨隆起が無くなったことで見た目の印象が良くなり、審美的にも満足され、下顎および上顎奥の骨隆起は気にならなくなられました。そのため下顎と上顎の奥歯の手術は行っていません。
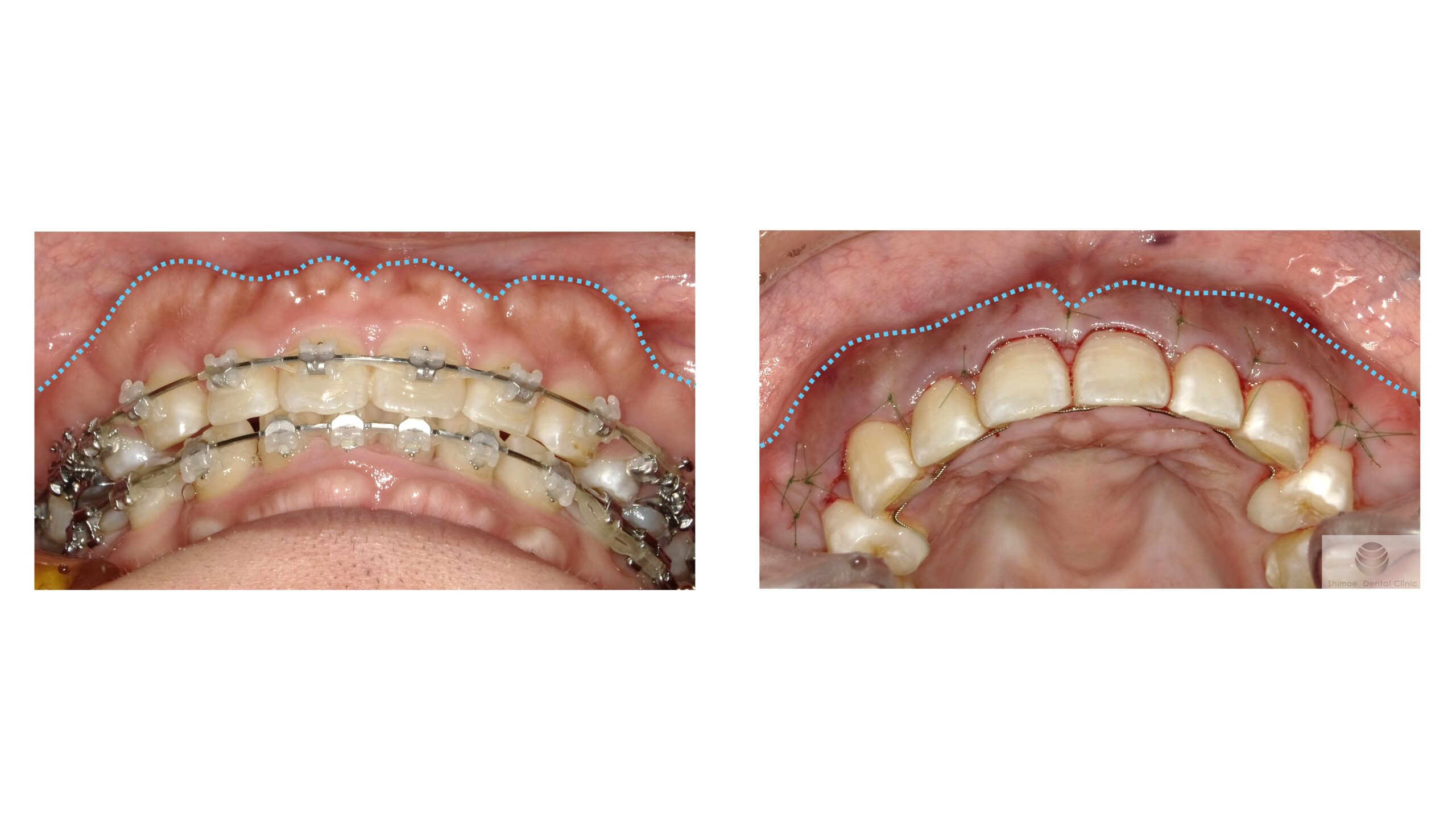
手術前後比較
下からのアングルでの術前後比較写真
もとの骨隆起のラインを水色点線で記しています。
厚み、幅ともに大きく切除しています。
当患者さまにおかれましては、治療へのご協力、ならびに資料掲載へのご同意を賜りまして、誠にありがとうございました。
引き続き、術部を含む口腔内の衛生管理を行っていきたいと思います。
