case 症例紹介
黄ばみの強い方のデュアルホワイトニング
30代の患者さま。既往歴として小児喘息、扁桃腺炎がありました。
歯の全体的な黄ばみが気になられるため、デュアルホワイトニングを行いました。
【治療内容】医療用デュアルホワイトニング
【治療期間】 約3週間
【副作用】 知覚過敏、ホワイトスポット、後戻りなど
【治療費用】 55000円
※画像の掲載に関し、ご本人様の同意を得ています。
※治療費は不定期に変動します
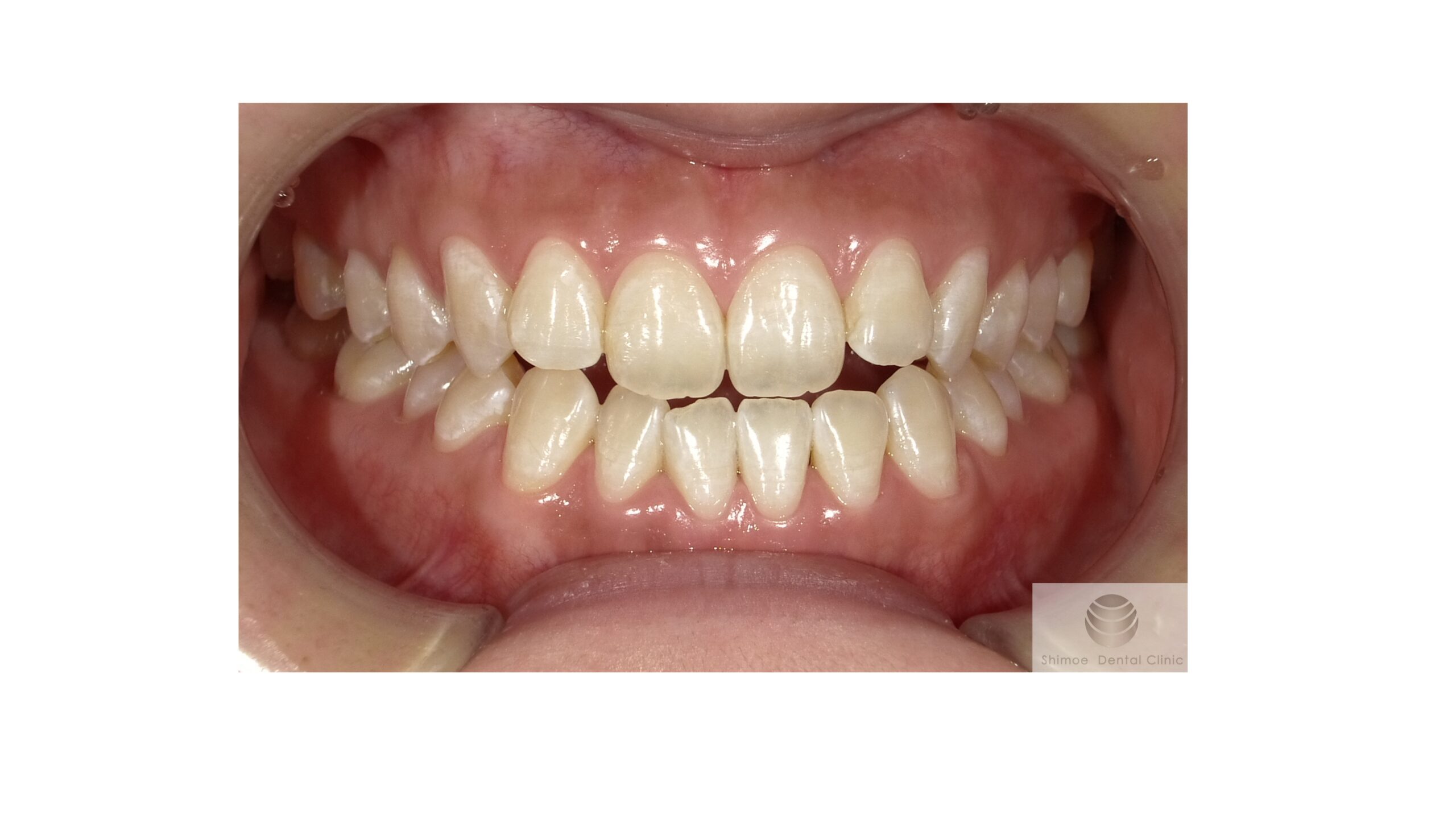
ホワイトニング前
施術前。
問診とシェードテイキングから、お若いですがテトラサイクリン歯に近い状態であると予測し、ホワイトニングにも工夫をしました。
オフィスホワイトニング1回目後
クリニックでのオフィスホワイトニング後の写真です。オフィスを2クールしました。
エナメル質に厚みがあってオフィスの効果が出やすい歯質をされています。
オフィス単体だけでも、白く変化したと感じるレベルにまでトーンアップしました。
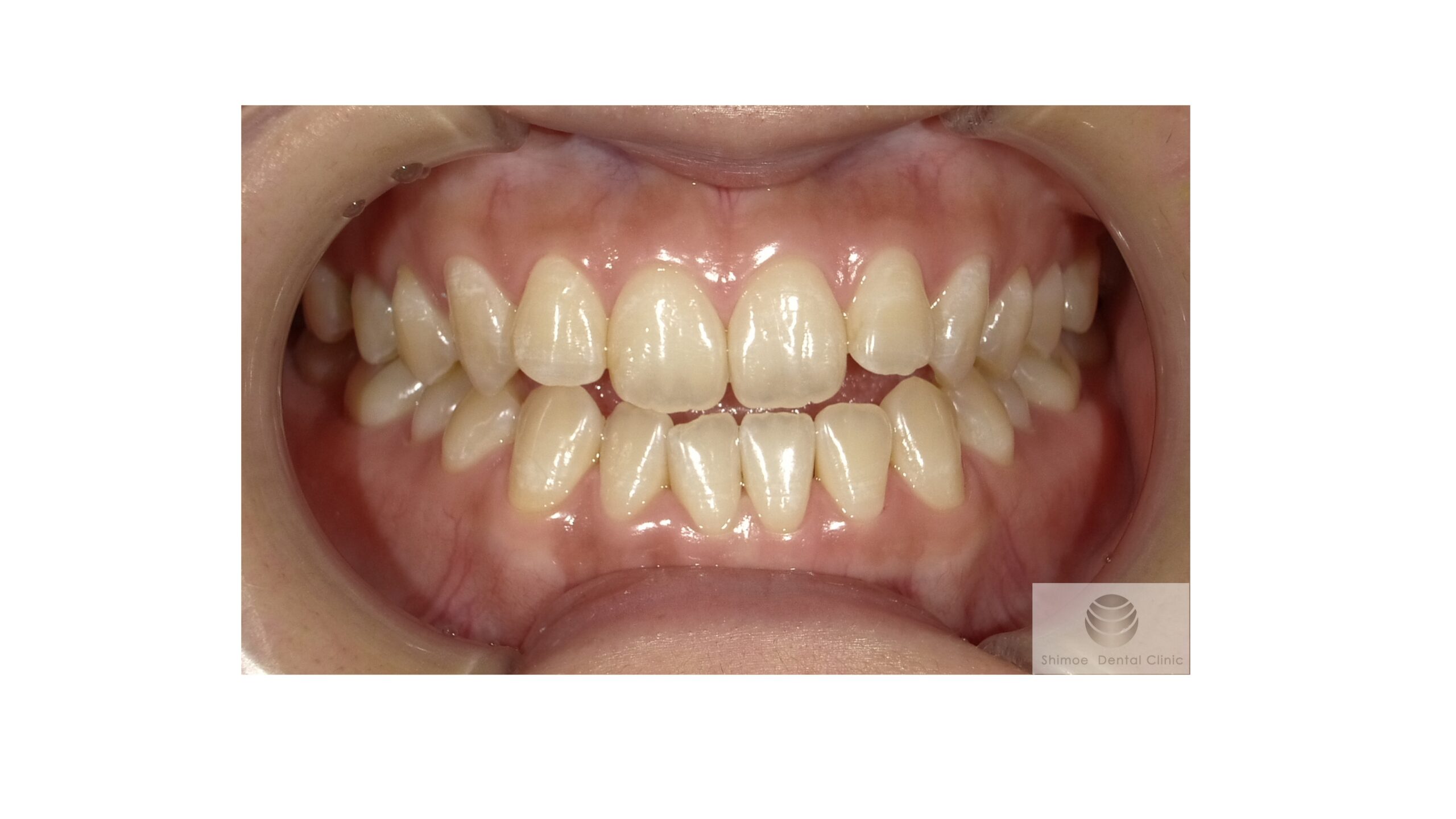
デュアルホワイトニング後
デュアルホワイトニング後の写真です。
1つ前のお写真の状態から、ホーム×オフィスを行いました。期間は約3週間です。
知覚過敏がでることなくご自宅でのホームホワイトニングを順調にしていただきました。
内側の黄ばみがとれたことにより、オフィスがより効果を発揮していると思います。
施術前後 比較
5トーンアップし、人からみて白いレベル、白さを実感できる明るさにまでトーンアップし、ご満足いただける結果となりました。
清潔感があって明るいお口元になられていますね!
現在、このデュアルホワイトニングから2年以上経過しておりますが、毎日の丁寧なブラッシングと定期的なメインテナンス(歯科医院でのクリーニング、ホームホワイトニング)を継続してくださっていることで、この白さをキープされています♡
本患者さまにおかれましては、治療および資料の掲載にご協力を賜りまして、誠にありがとうございました。
引き続き、お口の健康をともに守っていけたら幸いに思います。
